Teilen auf FacebookTeilen auf Facebook Teilen auf Google PlusTeilen auf Google Plus Teilen auf TwitterTeilen auf Twitter Empfehlen per EmailEmpfehlen per Email

Veneers

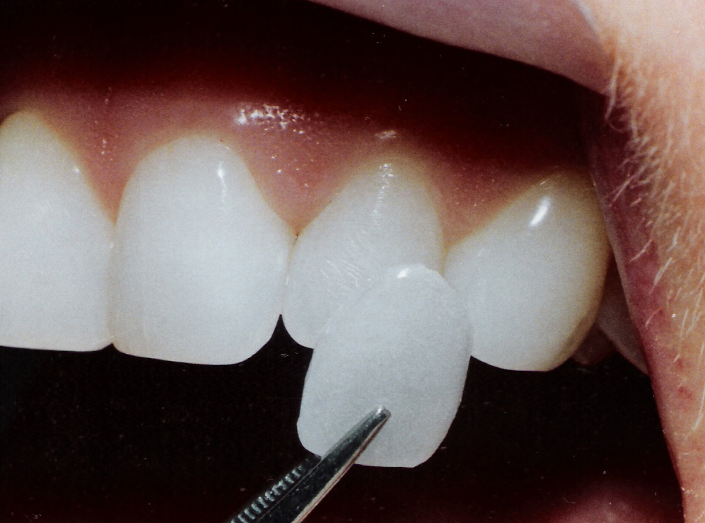
Veneers, das englische Wort für Furnier, sind hauchdünne, lichtdurchlässige Verblendschalen aus Keramik, die den Zahn im gesamten sichtbaren Bereich abdecken. Sie werden vor allem bei Frontzähnen angewendet um leichte Fehlstellungen, Lücken, Form oder Farbe zu korrigieren.

Die Veneer-Behandlung ist eine moderne Methode in der Zahnmedizin und erfordert ein hohes Maß an Vorbereitung und Präzision seitens des Zahnarztes sowie eine ästhetisch makelloses, perfekt abgestimmtes Produkt seitens des Zahntechnikers. Besonders erwähnenswert ist die Tatsache, dass die Veneer-Behandlung im Vergleich zur gewöhnlichen Krone wesentlich zahnschonender ist, da erheblich weniger Zahnsubstanz abgeschliffen werden muss. Zudem sind die Verblendschalen sehr belastbar und langlebig und mit bloßem Auge nicht von einem unbehandelten Zahn zu unterschieden.

Die eigentliche Behandlung besteht aus zwei Schritten: Zuerst werden die zu behandelnden Zähne auf der Vorderseite minimal abgeschliffen; nach der Abdrucknahme und der Herstellung im Labor werden dann die individuell angefertigten Veneers in einer zweiten Sitzung fest verklebt. Neben ihrer optimalen Ästhetik und Langlebigkeit zeichnet sich die Veneer-Technik vor allem auch durch ihr zahn-und zahnfleischschonendes Verfahren aus. Eventuell auftretende minimale Zahnempfindlichkeiten können per Lasertechnik schnell gelindert werden. Veneers bieten eine schnelle und schonende Möglichkeit Ihnen ein strahlendes Lächeln zu ermöglichen.

Gerne informieren wir Sie ausführlicher über die Behandlung, unser sonstiges Angebot, organisatorische Fragen oder die Preise. Sie können uns kostenfrei per Telefon und Email oder in unserer Zahnarzt-Praxis und Dental-Klinik in Ungarn erreichen (siehe Kontakt).

Kontakt

Unsere Kollegin Eszter beantwortet Ihnen gerne alle Ihre Fragen. Mit ihr können Sie telefonisch oder per Email Termine vereinbaren oder einen kostenlosen Heil- und Kostenplan anfordern.

+36 96 566 055
http://www.vitadent-clinic.com

Kosmetische Zahnmedizin