partager sur  Facebookpartager sur  Facebook  partager sur  Google Plus partager sur  Google Plus  partager sur Twitter partager sur Twitter  envoyer par courriel à quelqun envoyer par courriel à quelqun

Facettes céramiques

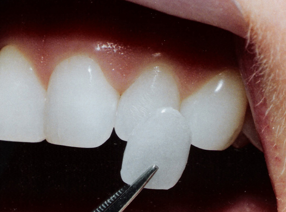
Des inégalités, des taches de couleurs plus petites peuvent disparaître grâce aux facettes céramiques, sans abîmer les dents. Une facette céramique complète est un des meilleurs choix pour cacher les fautes de surface. La facette céramique est l’acquis le plus élégant de la dentisterie esthétique. Elle demande un planning précis, une préparation exacte de la part du dentiste et un travail de perfection de la part du prothésiste dentaire. En échange, vous recevez des dents magnifiques aux reflets naturels et merveilleusement lumineuses. Naturellement, pour arriver à ce résultat, il n’est pas nécessaire de réduire la couronne entière de la dent, car sinon on enlève une grande partie de la matière dentaire précieuse, il faut seulement travailler la face externe de la dent.

Dans la plupart des cas, on colle sur la face externe des incisives supérieures une couche très fine de céramique d’une épaisseur de 0.5-1-1,5 mm, fabriquée à partir d’une empreinte prise au cabinet dentaire. Cela permet de rendre à la dent la nuance souhaitée. Votre sourire est immédiatement plus estéthique – sans devoir appliquer une couronne.

Avant de coller les facettes céramiques sur la dent, il faut enlever également une couche très fine de la face de la dent, une couche tellement fine que cela ne cause aucun changement pour la dent. Une légère sensibilité de la dent est possible que nous pouvons réduire à l’aide du laser. Avec l’application des facettes céramiques, nous pouvons obtenir des résultats très spectaculaires, sans pertes et sans interventions majeures.

Contactez-nous

Notre réceptioniste vous donne des informations détaillées et exhaustives sur les traitements. C’est avec elle que vous pouvez fixer un rendez-vous soit par téléphone, soit par courriel. C’est elle qui vous prépare un devis gratuit.

0036 70 550 4254
http://www.vitadent-clinic.com