Del på FacebookDel på Facebook  Del på Google Plus Del på Google Plus  Del på Twitter Del på Twitter  Del i e-post Del i e-post

Keramiske skallfasetter

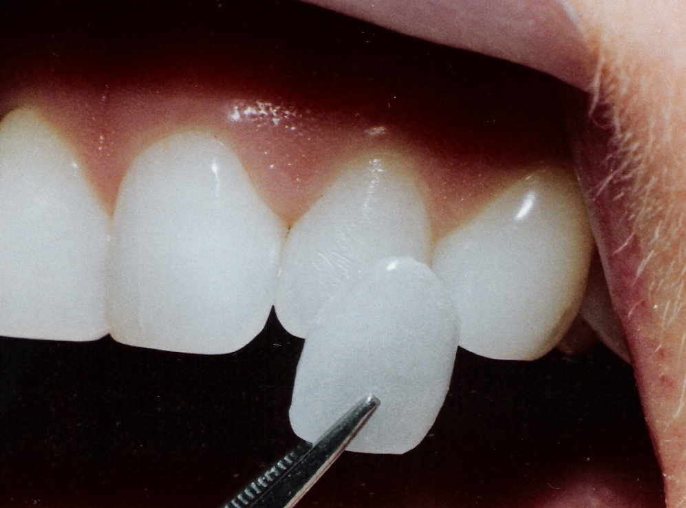
Små ujevnheter, fargefeil kan bli gjemt perfekt med keramiske skallfasetter uten å skade tennene. Denne skallfasetten er et perfekt valg for å gjemme feilene. Skallfasetten er den estetiske odontologiens mest elegante påfunn. For å lage den er det behov for grundig planlegging og nøyaktig forberedelse fra legens side og perfekt estetisk arbeid fra tannteknikkerens side. Vi får fantastisk glitrende tenner som gir naturlig inntrykk. Det er selvfølgelig ikke forsømbart at i dette tilfelle er det ikke behov for å polere tannkronen og fjerne mye verdifull tannmateriale, det er bare behov for å bearbeide tannens synlige, ytre overflate.

I de fleste tilfellene limer vi en veldig tynn, 0.5 - 1 - 1.5 mm, keramisk skallfasett på foran tennenes overflate mot leppen. Denne er laget i et laboratorium på unik måte basert på et avtrykk. Slik kan smilet bli estetisk med en gang og ha den ønskede nyansen uten tannkrone. Før vi setter på de keramiske fasettene, må vi fjerne tilpasselig tykkelse fra tannens overflate, men det laget er så tynt at det ikke fører til noen forandring i tanna. Det er mulighet til at det oppstår et lite ømhet som vi kan behandle med leser tannømhet minskelse. Ved plassering av keramikk skallfasetter får vi raskt veldig synlige resultater uten tap eller større inngrep.

Kontakt

Vår kollega gir deg mange og detaljerte opplysninger om behandlingene. Du kan bestille time på telefon, eller e-post, og hun forbereder gratis tilbudet for deg.

0047/ 94 43 44 04
http://www.vitadent-clinic.com